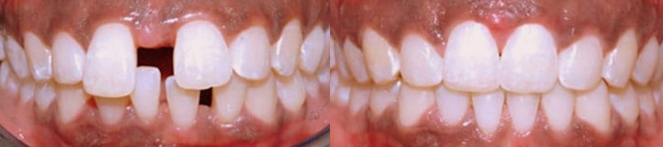
Smile Gallery





Happy Healthy Smiles



Happy Healthy Smiles

Dental Implants










Cosmetic Dentistry








General Dentistry












Get in touch

Contact us now


CONTACT 24/7

+92 300 7340020



Follow us

Our Activity


Copyright by QDC 2024. All rights reserved.