Soft Tissue Grafting



What Is a Gum Graft?

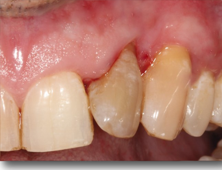
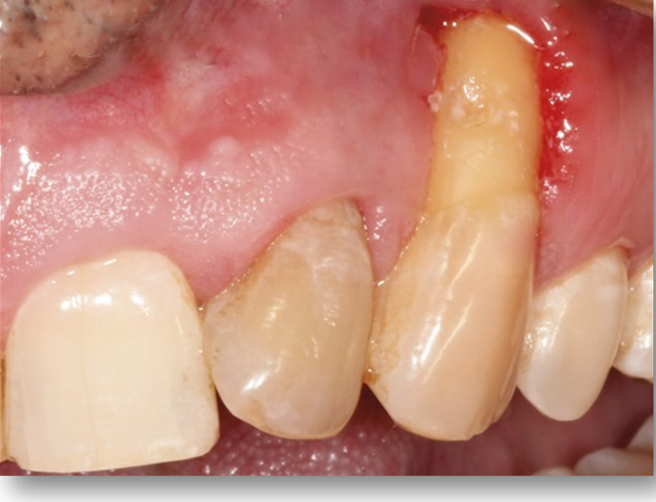
Definition: A gum graft is a procedure to treat receding gums. Known technically as “subepithelial connective tissue grafting” or simply “connective tissue graft,” this method is the most reliable solution for severe gum recession, especially when limited to one or two areas.

Procedure:

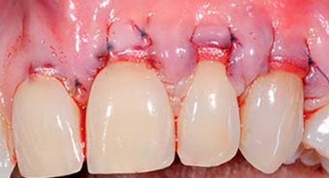
  • Tissue Removal: Tissue is taken from beneath the gums on the roof of the mouth.

  • Tissue Placement: This tissue is then placed over the recession area.

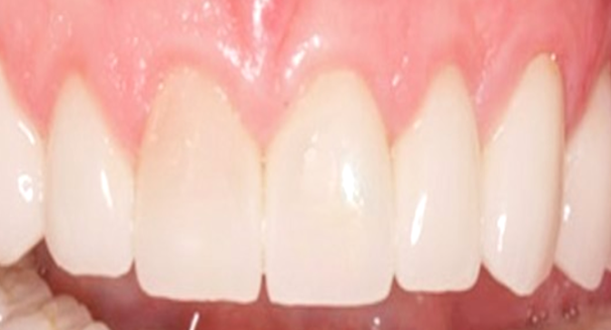
  • Healing: The graft integrates with the existing gum tissue, permanently thickening and strengthening the gum attachment to the exposed root.

Alternative Treatments:

  • Pinhole Procedure: For multiple affected teeth, the pinhole procedure can repair the gum line without grafting if detected early.




WHY SOFT TISSUE GRAFTING?

Soft Tissue Grafting Improves

Aesthetics and Prevent the Bone Loss

Gum Grafts — Small pieces of tissue taken from other areas such as the palate and surgically implanted to correct severe gum disease, cover exposed roots, stop bone loss and gum recession, and even reduce pain-causing root sensitivity.

Replacement of Lost Gum Tissue — Gum tissue can be augmented or replaced by a variety of means, including soft tissue grafts.

Excessive or Uneven Gums – Gum lifts or soft tissue grafts can be used to even gum lines, or cover an exposed root.

Ridge Augmentation — A procedure that can shore up dents and other abnormalities in your gum line.


Achieving Naturally Beautiful Teeth: Soft Tissue Health

Main Aesthetic Problems due to Gums:

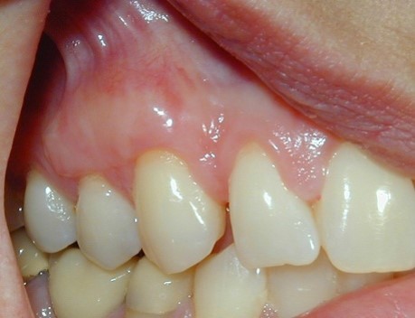
Gum Recession: Loss of gum height exposes tooth roots due to aggressive brushing, prominent roots, strong muscle attachments, thin tissue, or occlusal trauma.

Indications: Esthetic concerns, sensitivity to hot or cold, and root caries risk.

Loss of Gum Height: After tooth loss, it leads to aesthetic issues like black triangles.

Solution: Recreate gum tissue before restoration.

Treatment Approaches:

  • Free Gingival Grafts: Uses palatal tissue but may cause scars and painful recovery.

  • Sub-Epithelial Connective Tissue Grafts: Provides better color and texture matching with less pain.

  • Restoring Lost Gum Height: Similar to connective tissue grafting, may need repeat procedures based on defect size.

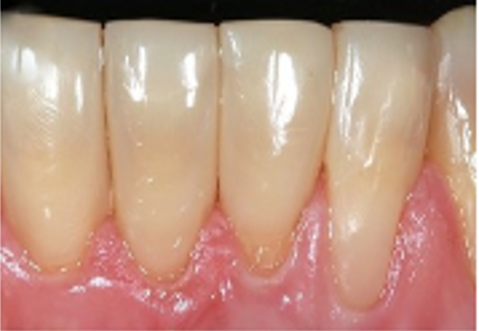
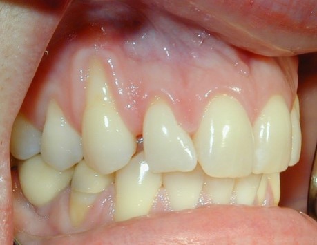
BEFORE

AFTER

Soft Tissue or Gum Grafts

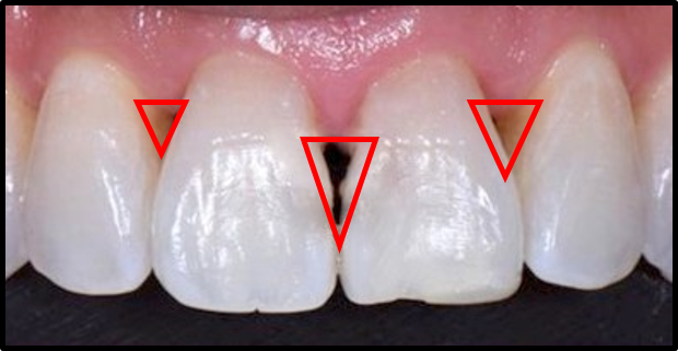
Gum recession, causing unaesthetic black triangles

Soft tissue or gum grafts effectively address unaesthetic black triangles by closing gaps & restoring a more pleasing gum line

Black Triangle Teeth

  • Black triangle teeth, are gaps between teeth and the gum line.

  • Causes: Common with aging, gum disease, and smoking.

  • Aesthetic Concerns: Can make smiles unattractive and add years to appearance.

  • Health Risks: Act as traps for food and plaque, increasing the risk of gum disease and tooth decay.

  • Functional Issues: May affect speech, causing spitting when talking.

How to Fix Black Triangles

Between Teeth

  • Gum Surgery: Suitable candidates can consider surgical options like the pinhole technique.

  • Crowns/Veneers: Can address the issue for long term.

  • Orthodontic Treatment: Realign teeth to eliminate or reduce gaps.

  • Aesthetic Bonding: A painless technique using composite resin to fill gaps.

  • Bioclear Matrix Technique: Aesthetic bonding, ideal for lower teeth.

  • Do Nothing: If gum disease is inactive and the gaps are not a concern, no action is needed.

  • Consultation: Book an examination to discuss treatment options for black triangles.

Gum Grafting Overview

Definition: Gum grafting, also known as gingival graft or periodontic plastic surgery.

Aesthetic Concern: Gum recession can make teeth appear longer, leading to cosmetic issues.

Causes:

Gum disease

Genetics

Teeth grinding

Other factors

Consequences:

Exposed sensitive tooth roots

Increased discomfort with hot and cold foods

 

How to Prevent Triangle Gaps

Between Teeth

  • Maintain Good Oral Hygiene: Practice regular brushing and flossing.

  • Use a Soft Brush: Gently massage teeth and gums with a small brush head.

  • Daily Interdental Cleaning: Follow your dentist’s instructions for cleaning between teeth.

  • Regular Check-ups: Visit the dentist to catch potential gaps early.





Get in touch

Contact us now


CONTACT 24/7

+92 300 7340020



Follow us

Our Activity


Copyright by QDC 2024. All rights reserved.