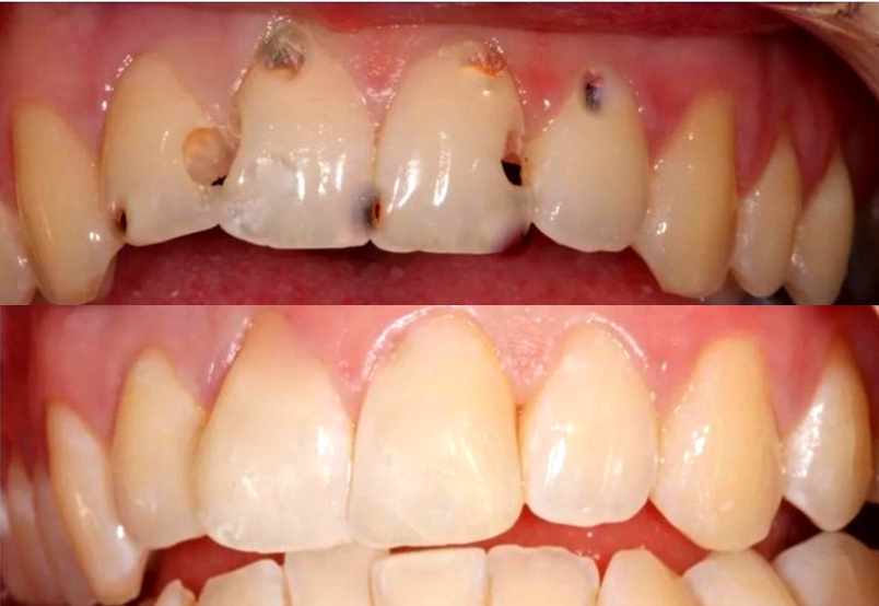
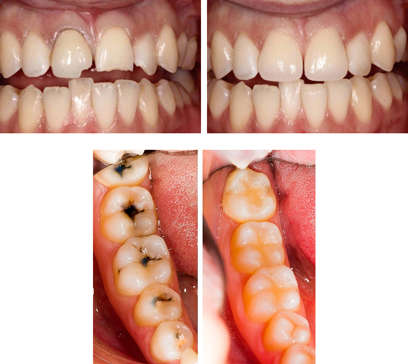
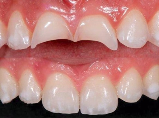
Dental Fillings


Dental fillings are a restorative procedure designed to repair cavities, holes, and damaged or decayed teeth, restoring them to their original shape, function, strength, and aesthetics. Depending on the material used, a quality filling can last over several years while preventing further deterioration. There are basically tooth colored and amalgam(silver) fillings.

Tooth-colored composite fillings provide a natural, aesthetically pleasing alternative to metal fillings, lasting 5 to 10 years. They blend seamlessly with teeth, enhancing appearance. In contrast, metal or amalgam fillings offer superior strength and durability, particularly for back teeth and bruxism, and can last over 20 years.

Dental Fillings: Restoring Teeth with Strength and Aesthetics

Purpose: Repair cavities, damage, and decay, restoring tooth shape and function.

Benefits: Strengthens teeth, maintains aesthetics, and prevents further deterioration.

Longevity: Quality fillings can last for several years with proper care.

Functionality: Helps restore original bite and chewing ability efficiently.

Materials: Available in two types—composite, tooth-colored and silver amalgam

1. Composite (Tooth-Colored) Fillings

Aesthetics: Blends naturally with teeth for a seamless appearance.

Lifespan: Lasts 5 to 10 years, shorter than silver amalgam.

Replacement: May need replacement after a decade.

Functionality: Ideal for visible teeth, enhancing appearance.

Limitations: Less durable than metal fillings for heavy wear areas.

2. Metal or Silver Amalgam Fillings

Strength & Durability: Ideal for back teeth and bruxism, lasting over 20 years.

Aesthetics: Less suitable for visible teeth due to their metallic appearance.

FDA Approved: Deemed safe and effective despite mercury-related concerns.

Longevity: Offers excellent performance over decades with proper care

Tooth-Colored (Composite) Fillings – Cosmetic Fillings: Offer a natural, seamless look, enhancing the aesthetics of your smile. These cosmetic fillings blend perfectly with your teeth and are ideal for visible areas, lasting 5 to 10 years. They provide a durable and attractive alternative to traditional metal fillings, ensuring both function and beauty.

Tooth Colored Fillings – Cosmetic Fillings:
Aesthetic Alternatives to Amalgam

Should You Replace Amalgam with Composite Fillings?

Is It Wise to Replace Metal Fillings?

 

Amalgam Fillings Overview:
Made from mercury mixed with silver, copper, and tin, these fillings have been used for over 150 years.

Benefits of Metal Fillings:
Strong, durable, and ideal for back teeth and wet environments.

Issues with Metal Fillings:
Metal or silver fillings can impact appearance, especially for those with aesthetic concerns. They are typically recommended only for back teeth, where their strength is needed, and they remain mostly hidden.

Health Implications of Mercury:
Amalgam fillings are approved by the FDA as safe and effective for dental use. However, the FDA advises caution for pregnant individuals and young children due to mercury content and recommends consulting a dentist for the best filling options based on individual health needs.

  • When to Replace Metal Fillings:

    Replace if damaged, decayed, or nearing their lifespan (10-15 years). Cosmetic concerns, allergies, and health risks are valid reasons for replacement.

  • Best Replacement Option:

    Tooth-colored composite fillings offer a natural look and strong bonding.

  • Consult a Professional:

    For personalized advice, consult QDC for recommendations.





Get in touch

Contact us now


CONTACT 24/7

+92 300 7340020



Follow us

Our Activity


Copyright by QDC 2024. All rights reserved.