DENTAL IMPLANTS

qsf
qs2

Unveiling the Artistry of Dental Implants at

“The QDC
Revolutionizing
Dentistry: The Miracle of

Dental Implants

Implant Dentistry: Precision Perfected at The Qureshi Dental Centers


jj
hn

Dental Implants: The Quintessence of Tooth Replacement Excellence

They are the premier choice for replacing missing teeth due to their aesthetic allure, durability, enduring nature, sturdiness, and ability to replicate natural teeth.

Dental Implants: A Modern Miracle in Dentistry

Natural Tooth Root Replacement
Crafted from titanium, dental implants mimic natural roots, anchoring securely within the jawbone.

Stable Foundation for Restorations
Implants support dentures, crowns, and bridges with unmatched durability and stability.

Superior Benefits
Known for their strength, aesthetics, and natural feel, implants surpass traditional tooth replacement methods.

Advancements for All Patients
Thanks to modern innovations, most patients, even those previously unsuitable, can now enjoy the benefits of implants.


At the “QDC”, our signature atraumatic technique redefines the experience of dental implant placement, ensuring flawless painlessness while seamlessly blending simplicity with unparalleled precision and comfort.
This exclusive, cutting-edge approach stands as a true masterpiece of innovation, thoughtfully envisioned and meticulously perfected by the renowned Implant Icon, Dr. Mahmood Qureshi (Dr. MQ).

SABIRIN

Stable Alveolar Bone Implant Reconstructive Integration Naturally

Flapless Implant Placement: Key Details

Definition: Implant placement without lifting gum tissue, minimizing invasiveness.

  • Guided Access: Small punch made for direct bone access.
  • Implant Placement: Implant inserted through minimal access with high precision.
  • No Drilling: Avoids drilling, preserving bone and reducing trauma.
  • No Flap Elevation: Eliminates soft tissue detachment, ensuring no bleeding.
  • No Future Bone Loss: Maintains bone structure and soft tissue integrity.
  • Accelerated Healing: Preserved blood supply leads to rapid recovery.
  • Reduced Treatment Time: Minimally invasive approach shortens procedures.
  • Minimized Trauma: Soft tissue remains largely undisturbed.
  • Improved Esthetics: Soft tissue contour is maintained.
  • Better Post-Op Comfort: Less discomfort and swelling.

Innovation and Expertise

The fusion of talent and expertise at Qureshi Dental Centers has redefined innovation and excellence in dentistry. Dr. Qureshi’s visionary techniques and mastery in dental aesthetics have transformed countless lives and set new benchmarks in implant surgery.

Patient-Centered Excellence

At Qureshi Dental Centers, your comfort and satisfaction come first, with personalized care and a seamless, stress-free journey from start to finish.

The Irrefutable Benefits

Enhanced Aesthetics: Achieve a radiant smile while preserving jaw health.

Comprehensive Restoration: Natural appearance, full function, and lifetime reliability.

Stability and Confidence: Enjoy unrestricted bite function with lifelong comfort.

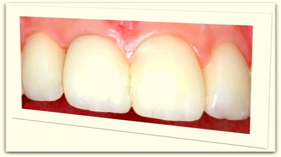
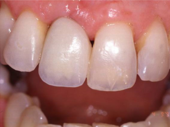
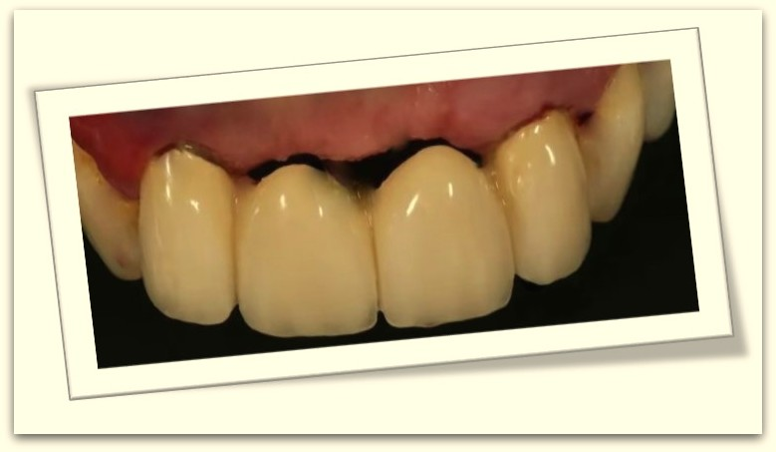
Dental Implants: The Quintessence of Tooth Replacement Excellence
Dental Implants – the gold standard in tooth replacement

Herald A New Era In Modern Dentistry, Seamlessly Restoring Missing Teeth To Full Function with Natural Aesthetics, Contour and Comfort. The Premier Choice For Replacing Missing Teeth Due to their Aesthetic Allure,  Durability, Enduring Nature, Sturdiness and Ability to Replicate Natural Teeth

 

  • Prevalence of Tooth Loss: 70% of adults aged 35–45 lose one or more teeth, and 40% lose all teeth by age 60.

  • Importance of Replacement: Replacing missing teeth helps preserve alignment, facial structure, and proper function for eating and speaking.

Preferred Solutions: Dental implants and bridges are highly favored for effective tooth replacement.

 

 

Why Dental Implants?

The Ultimate Choice for Lasting, Natural Smile

The ideal alternative to natural teeth, designed to last for lifetime

Maintains facial contours and a radiant smile.

Our exclusive 30-year study shows over 99% success rate

Effects of Tooth Loss on Facial Aesthetics and Structure

  • Distorted Facial Contour: Alters natural facial shape and symmetry.

  • Bone Loss: Jawbone resorption weakens structure, affects jawline definition.

Effects of Tooth Loss on Facial Aesthetics and Structure

  • Cosmetic Impact: Gaps affect smile, lead to sagging cheeks, and alter facial symmetry.
  • Distorted Facial Contour: Alters natural facial shape and symmetry.
  • Chewing & Digestion: Inefficient chewing may cause digestive issues.
  • Speech Issues: Can result in whistling or spitting during speech.
  • Bone Loss: Jawbone resorption weakens structure, affects jawline definition.
  • Bite Misalignment: Teeth shift and drift out of position.
  • Tooth Shifting: Adjacent teeth shift, increasing decay, gum disease, and misalignment.
  • Overload & Strain: Remaining teeth face excessive stress, causing headaches and TMJ strain.
  • Aging (Sunken) Appearance- Facial Sagging: Loss of support accelerates wrinkles, sagging, and reduced facial height.
  • Emotional Impact: Reduced confidence in appearance.

     

Why Choose Dental Implants?

  • Preserve Jawbone Health: By replacing tooth roots, implants prevent jawbone deterioration and stimulate bone growth.
  • Restore Full Chewing Power: Enjoy all foods without worry, as implants offer complete chewing capability.
  • Permanent and Secure: Unlike dentures, implants provide steadfast stability, eliminating slippage and the need for adjustments.
  • Maintain Oral Harmony: Preserve the alignment and health of adjacent teeth, preventing issues with bite and jaw alignment.
  • Boost Self-Assurance: Regain a confident smile and enhanced self-esteem with implants that look and feel natural.

Why Choose Dental Implants?

DENTAL IMPLANTS: PRESERVES TEETH, GUMS, BONE, AESTHETICS, OCCLUSION, FACIAL SYMMETRY, AND ELEVATE YOUR SMILE“

The Superior Choice: Dental Implants over Traditional Alternatives
  • Natural Look, Feel, and Function: Implants restore the appearance, feel, and functionality of natural teeth.
  • Speak Clearly: Missing teeth can unexpectedly distort speech patterns. An implant ensures clarity and confidence in communication.
  • Long-Term Solution: Unlike other options, implants are a permanent restoration that doesn’t require adjustments or replacements.
  • Prevents Jawbone Loss: By replacing tooth roots, implants stimulate bone regeneration and stop jawbone deterioration.
  • Stable and Secure: Implants offer unmatched stability, ensuring no slipping or discomfort during eating or speaking.
  • 100% Bite Function: Enjoy your favorite foods without restrictions—implants restore full chewing ability.
  • Enhances Jaw and Smile Health: Implants preserve the jawbone, prevent resorption, and maintain a healthy, beautiful smile.
  • Prevent Facial Sagging and Premature Aging
Facial sagging can be an unwanted effect of bone loss resulting from missing teeth. This is where the lower third of the face starts to
         collapse, gradually closing the distance between the tip of the nose and the chin. Changes can include excess wrinkles around the
         mouth, thinning lips and a more pointed chin, making the person look a lot older than his or her true age.




Why Choose Dental Implants?

Restore Your Culinary Joy: Many individuals express that missing teeth hinder their ability to relish certain foods. Who wants to skip a juicy steak or a buttery corn on the cob? Dental implants restore the full function of natural teeth, enabling you to enjoy your favorite dishes without hesitation.

Boost Self-confidence: A missing tooth can dim the brightest of smiles, impacting self-assurance. Dental implants let you flash your pearly whites with unabashed pride, rejuvenating your self-esteem.

Fixed and Reliable: Unlike dentures and bridges implants remain secure, offering a permanent solution for missing teeth.

Dental implants are easy to clean like natural teeth, unlike bridges or dentures that require special care. They provide a strong, permanent foundation for teeth that blend seamlessly with your smile.

 

‘Invest in the Transformative Power of Dental Implants’

Where Innovation Meets Longevity and Aesthetics Meet Functionality


Restore Your Culinary Joy: Who wants to skip a juicy steak or a buttery corn on the cob?

Rediscover Eating Comfort

Dental implants restore chewing efficiency enabling

you to enjoy your favorite dishes

Improved Digestion and Better Health
Dental implants restore proper chewing, promoting better

digestion and supporting overall health.

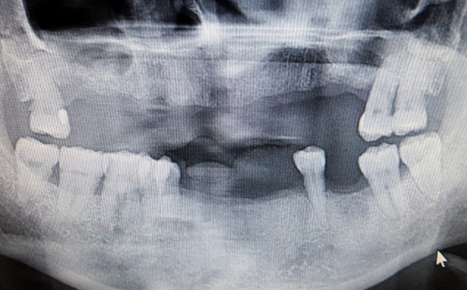
Implants vs. Dental Bridges

  • Natural Replacement: Implants provide a more natural and cost-effective solution compared to bridges, which involve altering healthy teeth.
  • Longevity: While bridges may last 5-10 years, implants offer a lifetime of functionality and durability.

Implants vs. Dental Bridges
(13 years After Placement)

“Dental implants prevent bone loss and preserve jaw strength and aesthetics.”

“Dental bridges risk gum disease, jaw shrinkage, and aging effects like wrinkles and bridge loss.”


LONG-TERM POST-TREATMENT CARE TIPS FOR DENTAL IMPLANTS

1.Maintain Daily Oral Hygiene – Brush like natural teeth and floss regularly to prevent infection.

2.Visit Dentist Regularly – Schedule check-ups every 6-12 months.

3.Avoid Hard Foods –For the first 6 months to ensure proper healing and stability of the implant.

4.Monitor Gum Health – Keep an eye on gum tissue around the implant.

5.Stay Hydrated – Drinking water supports oral health and healing.

6.Regular Checkups – Maintain the same frequency of dental checkups as you would for natural teeth.

7.Longevity – Proper care ensures that your dental implants will last a long time, potentially a lifetime

8.Address Issues Promptly – Contact immediately the QDC if you experience pain or discomfort.

These tips will help ensure the long-term success of your dental implants. Let me know if you need further details!


“The QDC Dental Implants”

look and feel like your very natural teeth designed to be fixed for lifetime. 

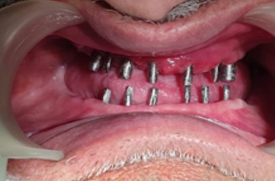
Implant-Retained Overdentures

Oral Health Management for Seniors

Specialized care plans addressing age-related dental issues

Dentures anchored by implants for improved stability in elderly patients


ORAL HEALTH MANAGEMENT FOR SENIORS SEEKING ECONOMICAL SOLUTIONS: A Stable, Cost-Effective Solution

Implant-supported Denture is securely anchored to the jawbone with dental implants, offering enhanced stability compared to traditional dentures that rest on the gums.
Enhanced Stability: Only 2 to 4 implants are typically needed to stabilize a full denture (12-14 teeth), providing a secure fit with significant cost reduction compared to full-mouth fixed _Implants.
Implant-Retained Overdentures Implant Attachments, underside of dentures showing over denture Attachments:  Ball attachments, help to snap a denture into place – Enhanced Stability

ORAL HEALTH MANAGEMENT FOR SENIORS 

IMPLANT-SUPPORTED DENTURES: A STABLE, COST-EFFECTIVE OPTION

Improved Comfort: Eliminates issues like slippage, especially in the lower jaw.

Snap-On Design: Easily removable and reattached for patient convenience, while providing excellent stability and balance, by virtue of the support given by Implants.

Better Balance: Provides superior stability over traditional dentures.

Ideal for Elderly: A secure, non-invasive and comfortable solution for seniors.

Cost-Effective: More affordable than full implants while offering stability.

Comfort for Multiple Missing Teeth: Provides stability and comfort for patients with several missing teeth.

Natural Functionality: Mimics natural teeth, improving biting, chewing, and speaking.

Long-Lasting: A durable, permanent solution compared to traditional dentures.

Gum-Friendly: Reduces gum irritation by resting on implants instead of the gums.

Personalized Care at QDC: Perfect for patients with poorly fitting dentures or those seeking new restorations for enhanced smile aesthetics.





Get in touch

Contact us now


CONTACT 24/7

+92 300 7340020



Follow us

Our Activity


Copyright by QDC 2024. All rights reserved.