ORTHODONTICS ~ Crafting Radiant Smiles for All Ages at The QDC


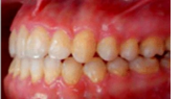
ortho before
ortho after

Creating Perfect Smiles of Your Dreams Through Precision Orthodontics, for All Ages

 

  • “THE QDC” prioritizes achieving the best smile for patients efficiently and comfortably, minimizing the number of visits required.

  • Patients range from adults to children, receiving treatment for various orthodontic needs from early intervention to enhancing older smiles.

  • Diagnosis and treatment cover a wide range of bite issues, including crowding, crossbite, overbite, overjet, gaps, underbite, open bites, and arch expansion.

  • Our QDC Orthodontics specializes in the science and art of smiles, aiming for broader smiles by considering natural tooth movement and anatomy.

  • Treatment is designed to achieve the perfect smile in half the time of traditional braces, focusing on both effectiveness and efficiency.

  • Patient results showcase successful transformations achieved through “THE QDC” orthodontic treatments.

“Crafting Radiant Smiles for All Ages at The QDC –

 Where Art Meets Science in Orthodontics “

“Crafting Radiant Smiles Across Generations at The QDC –

 Where Art and Science Converge in Orthodontics“

“Mastering Orthodontic Artistry: Crafting Timeless Smiles at The QDC”

 

“Orthodontic treatment can enhance your smile’s alignment and boost your confidence. At ‘The QDC Orthodontics’, we’re dedicated to helping you achieve a smile you’re eager to share. We understand that choosing to straighten your teeth is a significant decision. Here, you’ll find inspiring stories from real patients of all ages who have chosen orthodontic care at ‘The QDC Orthodontics’.”

Orthodontics is aligning bite and straightening teeth, for the individuals having  crooked, overlapped, twisted or gapped teeth.

Common orthodontic treatments include traditional braces, clear aligners and removable retainers.

What is orthodontics?

Orthodontics is the branch of dentistry that focuses on diagnosing and treating “bad bites” (malocclusion). Common orthodontic treatments include braces, clear aligners and retainers.

The way your teeth fit together has a significant impact on your oral health. By improving the way your upper and lower teeth meet, you can reduce your risk for a host of oral health issues, including cavities, gum disease and excessive wear (erosion).

Who benefits from orthodontics?

Everyone benefits: improves function, alignment, aesthetics.





Get in touch

Contact us now


CONTACT 24/7

+92 300 7340020



Follow us

Our Activity


Copyright by QDC 2024. All rights reserved.