Dental Crowns


What is a Dental Crown?
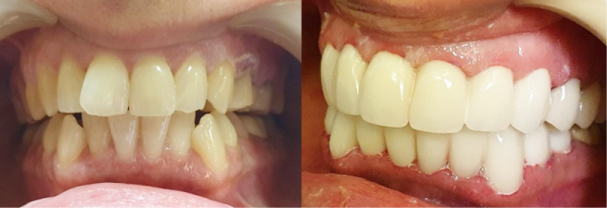
A dental crown is a tooth-shaped cap placed over damaged, crooked, decayed, or discolored teeth to restore their shape, size, strength, and appearance.

Full Coverage
Covers the entire tooth, replacing the outer enamel layer with a new material to restore function and aesthetics.

Natural Look and Feel – CROWNS LOOK LIKE YOUR NATURAL TEETH

Contoured like a natural tooth, it ensures proper chewing and can blend seamlessly with other teeth depending on the material used.

Dental Crowns improve appearance natural appearance, improve your alignment and resolve oral health issues. Natural-looking zirconia crowns that blend in with your smile!

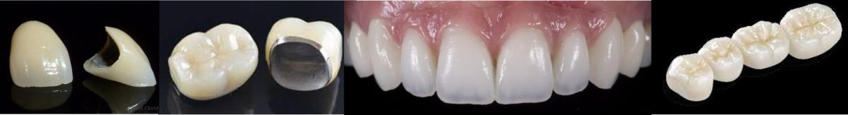
Types of Dental Crowns



Types of Dental Crowns

  • Zirconia Crowns
  • Porcelain-fused-to-metal (PFM)
  • E-max Crowns
  • Dental Bridges
  • Porcelain Veneers
  • Composite Veneers
  • FAQ

Zirconia crowns     

combine the strength of metal with the aesthetics of porcelain. – very  popular now-a-days

  • Material: Made from zirconium dioxide, known for its strength and durability.

  • Strength and Durability: Extremely sturdy and resistant to wear and tear.

  • Aesthetics: Excellent, but opaque, does not transmit light, suitable for masking dark or discolored teeth.

  • Biocompatibility: Metal-free, suitable for patients with metal allergies.

  • Preparation: Requires slightly more tooth reduction compared to E-max crowns due to its strength and opacity.

 

Porcelain Fused to Metal

Porcelain Fused to Metal combine the strength of metal with the aesthetics of porcelain, making them a widely-used option for back teeth where strength is crucial

  • Offers both durability and a natural look.

  • Proven reliability with over 50 years of successful use.

  • Relatively Economical

. PFM crown is a great option for back teeth due to their strength, but over time, they may develop a visible grey line at the gum margins from the underlying metal, making them less ideal for front teeth.

 

All-Porcelain Crowns

All-Porcelain Crowns are entirely made of porcelain, offering a highly aesthetic and natural-looking solution, especially for front teeth.

Advantages:

  • Natural look, matching surrounding teeth in shape, size, and color.

  • Ideal for front teeth restorations.

  • Biocompatible and metal-free, making them a non-toxic option.

Disadvantages:

  • Less durable than metal crowns, requiring careful maintenance.

  • It’s not ideal for those with bruxism (teeth grinding).

  • Generally more expensive than metal-based crowns.

E-Max crowns

E-Max crowns are the latest, offering a more life like appearance

  • made from lithium disilicate, known for being light, thin, and highly aesthetic.

  • Material: Made from lithium disilicate ceramic known for strength and aesthetics.

  • Strength and Durability: Strong and fracture-resistant, comparable to natural teeth. Suitable for both front and back teeth but great for front teeth.

  • Preparation: Requires minimal tooth structure removal during preparation, preserving natural tooth.

E-max Crowns Vs Zirconia Crowns

  • E-max Crowns: Preferred for superior aesthetics, translucency, and versatility; more suitable for front teeth.

  • Zirconia Crowns: Excel in strength, durability, and opacity, making them more suitable for posterior teeth and situations requiring masking of tooth discoloration.

E-max crowns are ideal for achieving natural-looking results with minimal tooth preparation. In contrast, zirconia crowns are better suited for cases where durability and masking of underlying tooth color are priorities.

 

Dental Bridges

Porcelain Veneers

Composite Veneers

When is a Dental Crown Required?

  • Restore a decayed, weak tooth

  • Protect a cracked tooth from further damage.

  • Following root canal therapy to reinforce its structure.

  • Mend a broken tooth and restore its functionality.

  • Enhance the aesthetic appeal of your smile.

  • Correct misalignment issues in your mouth.

Cover and complete a dental implant for a seamless appearance.

 

 

How Long Does a Crown Last?

Crowns are designed to restore strength, durability, and aesthetics to damaged teeth, aiding in speech and even distribution of chewing forces.

  • Average Lifespan: Crowns typically last around 15 years or more.

  • Long-Term Durability: With good oral hygiene and care, they can last for decades.

 

 

  • E.max – a very strong full porcelain material with superior aesthetics & very thin, thus less damage to underlying tooth

  • Porcelain-fused-to-metal – an average strength porcelain with decent aesthetics and a metal substructure to give added support

  • Gold – very strong in thin section thus minimally invasive for the underlying tooth

 

  • E-max Crowns: Preferred for superior aesthetics, translucency, and versatility; more suitable for front teeth.

  • Zirconia Crowns: Excel in strength, durability, and opacity, making them more suitable for posterior teeth and situations requiring masking of tooth discoloration.

E-max crowns are ideal for achieving natural-looking results with minimal tooth preparation, while zirconia crowns are better suited for cases where durability and masking of underlying tooth color are priorities.


 Gold Crowns                                                 

Gold Crowns made from a combination of gold and metal alloys, are extremely strong, durable, and highly resistant to wear.

  • Good for People having Bruxism (teeth grinding) and Betel Nut Chewers.

  • Suited for Back Teeth where strong biting forces are applied

  • Gold crowns don’t make a very popular choice today due to their color and aesthetics.

Resin Crowns
Resin crowns, made from plastic, are typically used as temporary crowns for patients to wear while awaiting permanent crowns from the dental lab.

Advantages:

  • Affordable and easy to fabricate.
  • Allows patients to test the crown’s fit and feel before receiving a permanent one.

Disadvantages:

  • Not durable or strong enough for long-term use.
  • Primarily for short-term, temporary solutions.




Get in touch

Contact us now


CONTACT 24/7

+92 300 7340020



Follow us

Our Activity


Copyright by QDC 2024. All rights reserved.