menu trigger
menu trigger
Sat - Thu 10:00-08:00
Friday - CLOSED
239-D2, Johar Town, Lahore
1051-B, LMQ Road, Multan
+92 300 7340020
mqimplants@gmail.com
Home
About us
Who we are?
QDC Practices
MQI-Institute
Dr. MQ
Awards & Certificates
Our Team
Our Partners
Testimonials
Tour The Practice
Services
Implant Dentistry
Dental Implants
Bone Grafting
Sinus Lift (Sinus Augmentation)
Full Mouth Reconstructive Surgery
Teeth in a Day
Cosmetic Dentistry
Smile Makeover
Crowns, Bridges & Veneers
Tooth Colored Fillings
Gummy Smile Treatment
Soft Tissue Grafting
Tooth Reshaping & Contouring
Gum Depigmentation
Orthodontics~Crafting Radiant Smiles for All Ages
Metal Brackets
Ceramic bracket
Clear aligners (Invisalign)
Adult Invisible Braces
Orthodontic Micro-implants
Oral Surgery
Tooth Extractions Simple/Surgical
Wisdom Tooth Extraction
Fracture Repair: Broken Jaw Surgery
Corrective Jaw Surgery
Cyst / Tumor Removal
Apicoectomy
Biopsy
Frenectomy
Gingivectomy
Cleft Palate Repair Trigeminal Neuralgia
General Dentistry
Preventive Dentistry: Scaling & Cleaning Fluoride Treatment
Periodontal Splinting (for Weak/Mobile/Loose Teeth)
Dental Fillings (Composite Fillings, Glass Ionomer Fillings, Metal Fillings, Dental Sealants)
Dry Socket
Bruxism, TMJ Disorder & Headaches
Dentures
Facial Aesthetic Procedures
Smile Gallery
Doctor’s Training Programs
Upcoming Courses
Courses Gallery
Faculty
Testimonials
Admission forms
Dental Tourism
Blog
News & Events
Articles
New Patients
Book an Appointment
Book an Appointment
Contact us
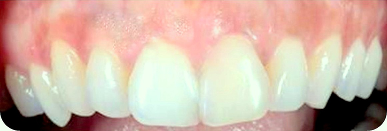
Gum Depigmentation
Gum Depigmentation:
Eliminates dark spots on gums through laser or surgical methods, creating a more even, natural, bright look.
Get in touch
Contact us now
CONTACT 24/7
+92 300 7340020
Follow us
Our Activity
Copyright by QDC 2024. All rights reserved.