“Welcome to The Qureshi Dental Centres.”

“The Country’s Largest and Most Advanced Dental Implant and Facial Aesthetics Center”








Professionals from Around the World Flock to The MQI Institute to Learn from ‘MQ-the Implant Icon’ Attend Workshops And Courses to Gain Access To His Unmatched Expertise and meet the man who is known to some as the ‘OsteoSculptor’ and to others as ‘The Maestro of Implantology





One-on-One Mentorship with the Implant Icon “MQ
 “A Legacy of Excellence: Advancing Dental Implant Surgery for 30 Years





We Rise Above the Rest





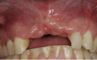
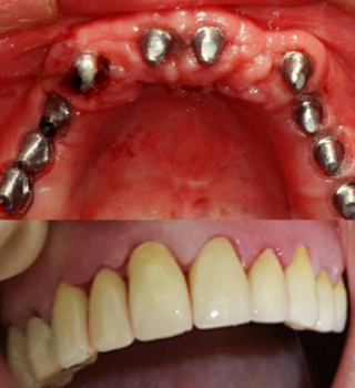
Treating the Untreatable

Dental Implant Services

Delivering the excellence in Dental Implants

READ MORE


Routine Dental Care

General Dentistry

Your journey to flawless dental health

READ MORE


Cosmetic Dentistry Services

Cosmetic Dentistry

State-of-the-art technology, Unparalleled results

READ MORE


Facial Aesthetic

Facial Aesthetic Services

State-of-the-art technology, Unparalleled results

READ MORE


MQI

IMPLANT INSTITUTE

Where theory evolves into clinical certainty through endless continuous education




DR.

MAHMOOD QURESHI


MQ is a Pioneering Innovator, Global Dental Implant Legend, and Mentor Extraordinaire;

known to some as the

“OsteoSculptor & to others as ‘The Master of Implantology”

  • Has Placed well Over 19000 Implants & 1300+ sinus grafts.

  • A Leading Dental Implant, Oral Reconstructive Surgeon & Facial Aesthetic Expert.

  • 30+ Professional Awards Globally

  • 5000+ Doctors Trained World Wide

  • Over 1000 Podium Presentations in 5 Continents


The best reference

OUR SERVICES

Don’t let the world change your smile, let your smile change the world!


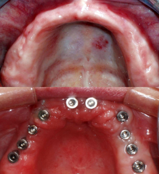
Implant, Bone Graft & Crowns

Full Mouth Reconstructive Surgery




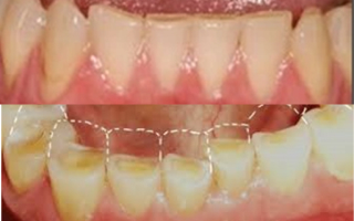
Smile Makeover




Bone Grafts




Micro-Implants




Sinus Grafts




Bruxism




For Clenching Teeth At Night

Night/Mouth Guard




Large Midline Diastema Closure




OUR TEAM


Dr. Muhammad Saeed
Prof. Dr. Muhammad Saeed

Oral and Maxillofacial Surgeon

Prof. Dr. Muhammad Saeed


Oral and Maxillofacial Surgeon Principal, Dean, Mentor



Dr. Nadia Mureed
Dr. Nadia Mureed

General Dentist

Dr. Nadia Mureed


Associate Dental Surgeon at QDC Multan & Course Coordinator. Well known for her knowledge and communication skills



Dr. Noor Fatima
Dr. Noor Fatima

Dentist

Dr. Noor Fatima


Associate Dental Surgeon at QDC Lahore & Course Coordinator. Well known for her knowledge and communication skills




Pedodontist, General Dentist;

Dr. Maryam Mahmood


MQI USA Coordinator Dr. Marium carries forward the zeal and passion to bring in innovation to the field of dentistry



The best reference

TESTIMONIALS




Amna Tahir USA

My name is Amna Tahir and I am from Chicago. I came to know about Qureshi Dental Centres from word of mouth from someone I know so I flew all the way to Multan for getting my treatment done. I was super impressed by the services, staff and when I met Dr. Qureshi,  I was blown away by his kind nature. I got my implants done, wisdom teeth extracted and Zirconia crown preparation done on the same day.

The whole procedure was very smooth and painless. I havn’t had a better service from anywhere as I had been to many dentists before this one. I’d say they are phenomenal, they are amazing, actually beyond my imagination and I am super happy for my treatment at QDC.


Dr Irfana
South Africa

23.07.2023

The dental surgeon is truly is a gifted surgeon and a legend in his field Dental Implants Such a soft gentle implant surgery experience. Dr Qureshi truly is a gifted surgeon and a legend in his field. I recommend.


Mughees
Pakistan

26.11.2021

Well done and highly recommended Dentist Consultation What a great experience of having my teeth fixed from this wonderful expert and highly skilled surgeon Mahmood Qureshi. Well done and highly recommended.

Treated by: Prof Dr. Mahmood Qureshi


Dr. Farooq Shah
Pakistan

26.11.2021

It was a major surgical procedure spread over 3 hours but it was totally painless, Dental Implants An experience of highest quality work with immaculate and perfect results by virtue of dental implants placed by the one and the only one, Dr. Mahmood Qureshi. To add, it was a major surgical procedure spread over 3 hours but it was totally painless and bloodless. The next day I was back to normal.


Prof Abdul Raheem
Pakistan

21.10.2021

Turned my dreams into reality by rolling back my years and giving me back my youthful smile,  Dental Implants An extraordinary experience and by far the best investment I’ve made in my lifetime. He is a master of implantology and turned my dreams into reality by rolling back my years and giving me back my youthful smile. You are a real asset to our country.


Zubeida Memon
Pakistan

From start to finish, I was given flawless information about the procedure and the pricing,  Dental Bridges, Extractions, Dental Implants
I lost my front teeth at the age of 25 in a mishap, and then get them replaced by means of bridges at a famous dental clinic in Karachi.
Somehow, I got along with them and have to replace them periodically but never felt comfortable with them. Last year there was excruciating pain and on my visit to my old dentist, I was advised to get them extracted and go for a denture, which was not at all acceptable for me neither for my professional requirements. During the course of time, a Dentist friend of mine told me about the dental implant surgeon, Dr Mahmood Qureshi. Considering all my previous know-how and the stress, pain and suffering I had experienced from dental care, I decided to travel to this specialist guy.
The treatment at the Qureshi dental clinic was both professional and peculiar every step of the way. From start to finish, I was given flawless information about the procedure and the pricing, all in a very comfortable atmosphere.

LAHORE OFFICE


WORKING HOURS


Sat – Thu
10:00 AM-08:00 PM
Fri
Closed

CONTACT DETAILS





CONTACT US AND SCHEDULE YOUR VISIT

MULTAN OFFICE


WORKING HOURS


Sat – Thu
10:00 AM-08:00 PM
Fri
Closed

CONTACT DETAILS









Get in touch

Contact us now


CONTACT 24/7

+92 300 7340020



Follow us

Our Activity


Copyright by QDC 2024. All rights reserved.